Vorteile der interventionellen Therapie
- Sofortige hämodynamische Verbesserung
- Verzicht auf systemische Fibrinolyse
- Geringere Blutungskomplikationen
- Entlastung der Intensivstation
- Verkürzung von Intensiv- und Gesamtaufenthalt
Wir bieten an, Patienten mit akuter Lungenembolie zeitnah zu übernehmen und (nach interner Evaluation im PERT Team) mittels interventioneller Therapie hämodynamisch zu stabilisieren. In der Regel verkürzt sich dadurch der Intensiv- bzw. gesamte Krankenhaus-Aufenthalt im Vergleich zur konventionellen Therapie.
Intensivstation B3 – AKH Celle
Tel.: 05141 72-6459 (8 bis 18 Uhr)
lungenembolie@akh-celle.de (24/7 erreichbar)
Kriterien für eine interventionelle Therapie
Erfüllt Ihr Patient mit akuter Lungenembolie eines oder mehrere dieser Kriterien?
- Rechtsherzbelastung
- Intermediär-hohes Risiko
- Erhöhte kardiale Marker (Troponin, NT-proBNP)
- Erhöhtes Laktat
- Hohe Thrombuslast / zentrale Thrombusanteile
- Zustand nach Lysetherapie ohne klinischen Benefit
In diesen Fällen kontaktieren Sie uns bitte frühzeitig, um minimalinvasive Behandlungsoptionen zu besprechen!
Unser Versorgungskonzept
Wir bieten Ihnen:
- Übernahme des Patienten auf unsere Intermediate Care Station
- Therapieentscheidung (Lyse, Thrombektomie, Antikoagulation) im interdisziplinären PERT-Team
- Interventionelle Thrombektomie-Bereitschaft, ggf. mit ECMO-Support
- Zertifizierung als Zentrum für das Inari FlowTriever®-System
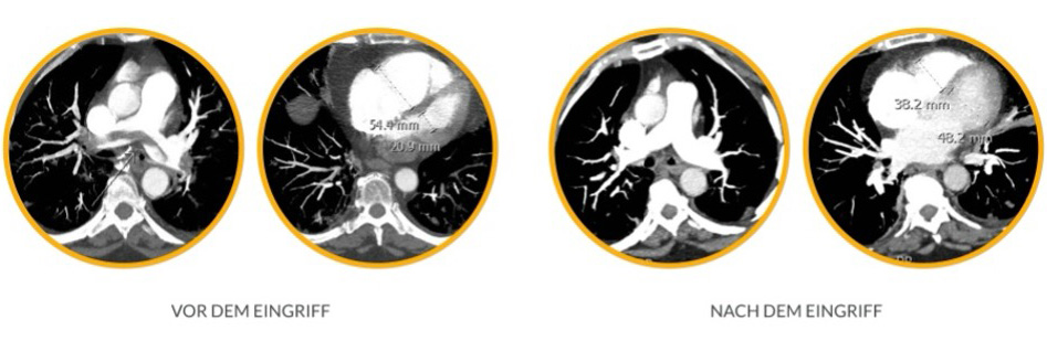
Durch die Entfernung großer, zentraler Thromben lässt sich eine sofortige Verbesserung der Hämodynamik und der klinischen Beschwerden erzielen.
Ihr Nutzen als zuweisende Klinik
- Schnelle Entlastung Ihrer Intensivkapazitäten
- Reduziertes Risiko sekundärer Komplikationen
- Effizienteres Ressourcen- und Personalmanagement
Diesen Mehrwert bieten wir Ihnen im Rahmen unseres Thrombektomie-Netzwerks jederzeit an – inklusive strukturierter Rückübernahmeoption (wenn gewünscht und klinisch vertretbar).






